Здравствуйте, друзья в
Почему 50 000 россиян ежегодно выбирают лечение зубов в Китае?
(Россия)
ЛЕЧЕНИЕ И ПРОТЕЗИРОВАНИЕ ЗУБОВ В ХЭЙХЭ — ГОСУДАРСТВЕННАЯ СТОМАТОЛОГИЧЕСКАЯ КЛИНИКА
Китайский город Хэйхэ находится всего в 750 метрах от Благовещенска (Амурская область, Россия). Дорога занимает всего 1 час. Государственная больница города Хэйхэ предоставляет высококлассное лечение и протезирование зубов. Качество лечения у нас соответствует московским стандартам, при этом стоимость услуг составляет лишь 1/4 от цен в России. Наше стоматологическое отделение является крупнейшим в регионе и ежегодно обслуживает десятки тысяч пациентов, сочетая доступные цены и безупречное качество услуг. Наши услуги особенно востребованы среди российских пациентов благодаря быстрому оформлению визы, удобному прохождению таможни и стоматологической помощи по самым выгодным ценам в Китае. Ежегодно к нам обращаются десятки тысяч пациентов из разных городов России, включая Благовещенск, Хабаровск, Комсомольск-на-Амуре, Владивосток, Якутск, Иркутск, Южно-Сахалинск, Москву, Новосибирск, Екатеринбург, Нижний Новгород и многие другие. Выбирайте нашу клинику для качественного стоматологического лечения. Мы гарантируем комфорт и отличный результат.
Акции и скидки от нашей клиники
скидка 20%
СКИДКА ДЛЯ ПЕНСИОНЕРОВ На лечение зубов
скидка 20%
На керамические коронки из титанового сплава при установке более 10 штук
скидка 20%
На двуокись циркониевые керамические коронки при установке более 10 штук
скидка 20%
Зубные имплантаты при установке более 1 штук
стоматология в китае для русских цены
Не выбирайте стоматологию только для русских! Хэйхэ доверяет нам — а значит, и вам можно
Мы — стоматологическая клиника, которой доверяют как китайские, так и российские пациенты.
Ежегодно нашу клинику выбирают до 9000 китайских пациентов и 3000 российских.
Вот отзывы наших китайских пациентов, количество оценок достигло 7000.
Почему выбирают нас?
Ваша ослепительная улыбка начинается в Китае!
6 причин выбрать нашу стоматологию + тур в Китай
Ваша ослепительная улыбка начинается в Китае!
6 причин выбрать нашу стоматологию + тур в Китай:
Гарантия до 15 лет – уверенность в результате на долгие годы.
Инновационные технологии – оборудование премиум-класса в каждом кабинете.
Врачи мирового уровня – создадим идеальную улыбку, сочетая науку и эстетику.
Экономия до 70% – высочайшее качество услуг по цене ниже, чем в России.
Лечение + отдых – организуем трансфер, проживание и экскурсии для вашего комфорта.
Прямые цены без посредников – честные отзывы и прозрачные условия.
Каждый год более 3000 пациентов из России уезжают от нас с красивой улыбкой и здоровыми зубами










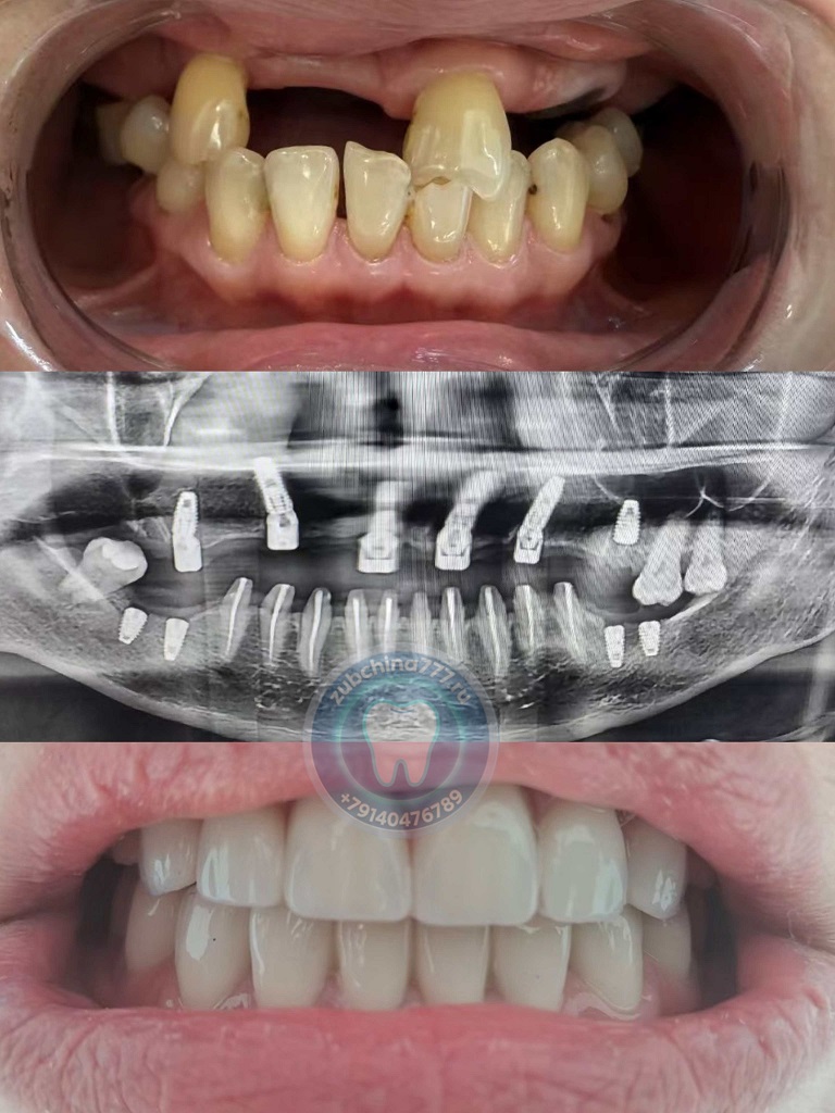
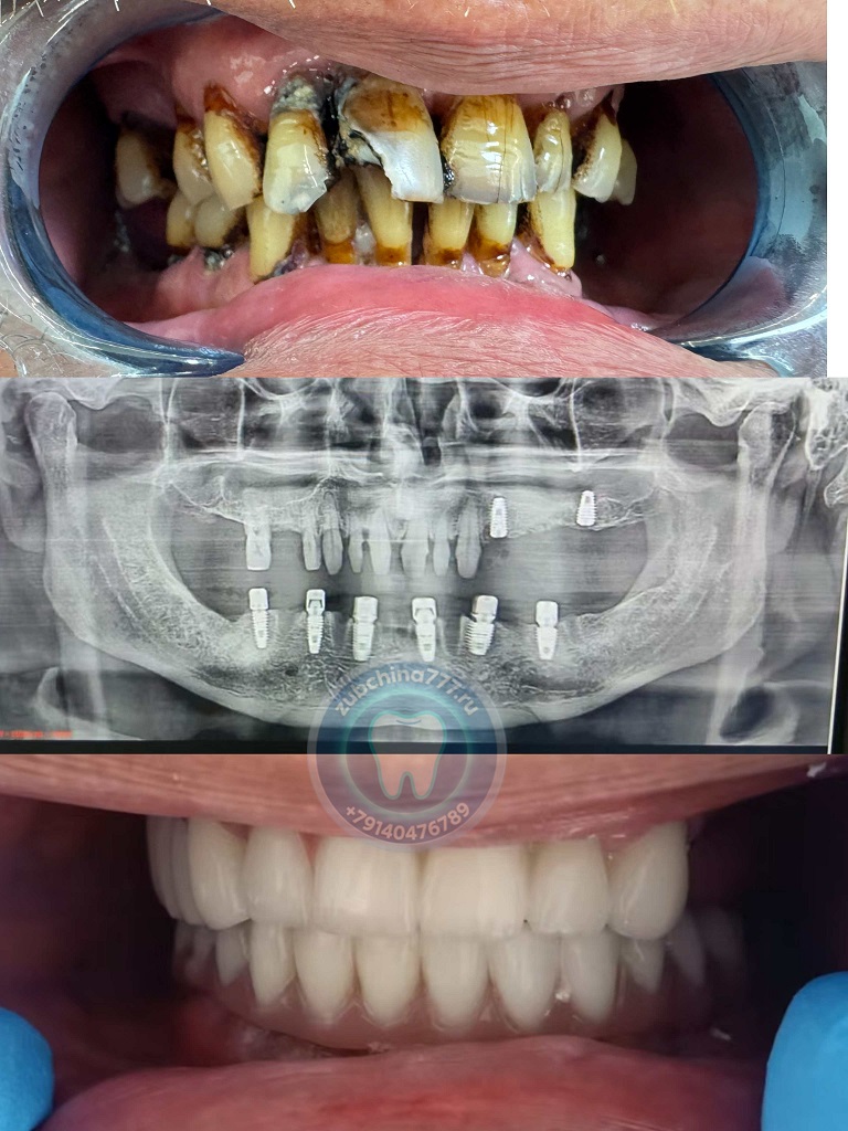
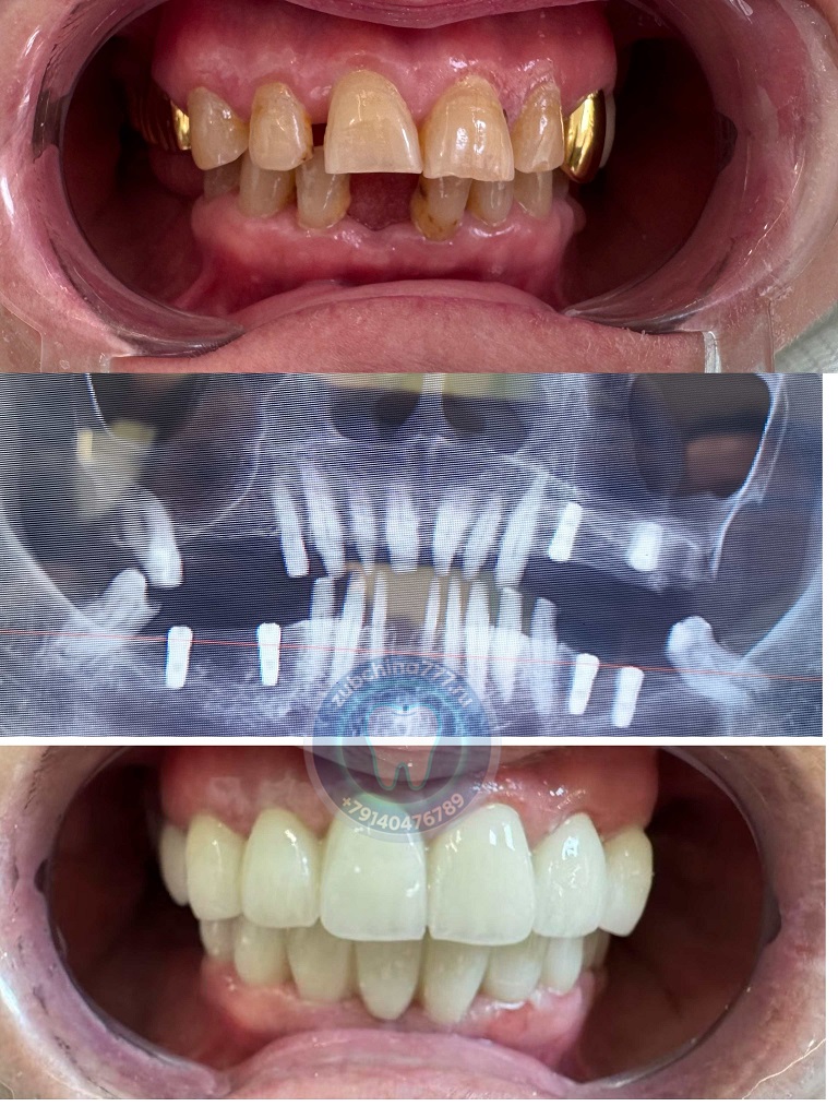
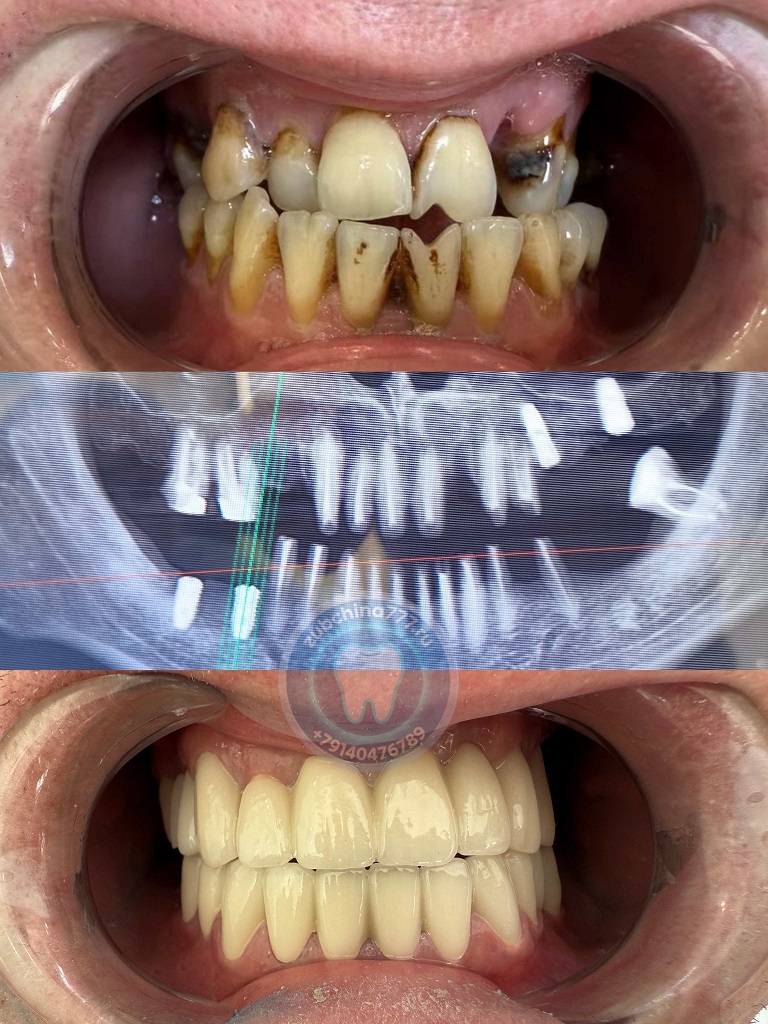
Фотографии пациентов ДО и ПОСЛЕ лечения и протезирования зубов в Хэйхэ








10 +
Лет опыта
99%
Удовлетворенности
15 +
врачей
6 878+
Довольных клиентов
ПОЗНАКОМЬТЕСЬ С НАШИМИ ВРАЧАМИ
Все наши врачи имеют не менее 10 лет опыта работы в должности стоматолога-терапевта





ЛЕЧЕНИЕ И ПРОТЕЗИРОВАНИЕ ЗУБОВ В ХЭЙХЭ — ГОСУДАРСТВЕННАЯ СТОМАТОЛОГИЧЕСКАЯ КЛИНИКА
Государственная больница города Хэйхэ предоставляет высококлассное лечение и протезирование зубов. Наше стоматологическое отделение является крупнейшим в регионе и ежегодно обслуживает десятки тысяч пациентов, сочетая доступные цены и безупречное качество услуг. Наши услуги особенно востребованы среди российских пациентов благодаря быстрому оформлению визы, удобному прохождению таможни и стоматологической помощи по самым выгодным ценам в Китае. Ежегодно к нам обращаются десятки тысяч пациентов из разных городов России, включая Благовещенск, Хабаровск, Комсомольск-на-Амуре, Владивосток, Якутск, Иркутск, Южно-Сахалинск, Москву, Новосибирск, Екатеринбург, Нижний Новгород и многие другие. Выбирайте нашу клинику для качественного стоматологического лечения. Мы гарантируем комфорт и отличный результат. Запишитесь на консультацию уже сегодня и оцените наш профессионализм лично.
Российские пациенты, которых мы принимаем
Лицензии и сертификаты



Наши профессиональные взгляды и статьи

«Имплантация зубов: современные методы и преимущества»

«Эндодонтическое лечение (лечение каналов): когда оно необходимо и как проводится»

«Моментальная имплантация зубов (immediate implant placement): технология "зуб за один день"»
Часто задаваемые вопросы
Как узнать предварительную стоимость лечения?
1. Оставьте заявку
Заполните форму обращения, и мы свяжемся с вами в кратчайшие сроки.
2. Пройдите диагностику в России
Вы можете сделать снимок зубов и провести осмотр в государственной или частной клинике по месту жительства.
3. Отправьте материалы
Пришлите нам рентген-снимки, после чего наши специалисты:
Проведут детальный анализ
Составят план лечения
Определят необходимые процедуры
4. Утвердите план
После согласования услуг мы предоставим фиксированную стоимость (без изменений в процессе лечения).
Есть ли гарантия на выполненные работы, и на какой срок?
Гарантия на лечение
Да, мы предоставляем гарантию. Срок гарантии зависит от использованных материалов и вида выполненных работ.
Примеры гарантийных сроков:
Титановые коронки – максимальный срок гарантии
Никель-хромовые коронки – средний срок гарантии
Пломбы – стандартный срок гарантии
Важно:
✔ Минимальный гарантийный срок 1–15 лет на все виды работ
✔ Гарантия распространяется как на материалы, так и на качество выполнения
Мы уверены в качестве наших услуг и всегда готовы устранить любые недостатки в гарантийный период!
В какой валюте происходит расчет?
Мы принимаем оплату в следующих валютах: рубли (RUB), китайские юани (CNY), доллары США (USD)
Как лучше добраться до больницы?
Стоматологическое протезирование в Хэйхэ: быстро, качественно, выгодно!
Первичный прием и диагностика:
На первой консультации наши специалисты:
Проведут комплексный осмотр зубов и дёсен
Оценят состояние имеющихся протезов (при наличии)
Выявят сопутствующие заболевания
При необходимости выполнят 3D-томографию челюсти
После диагностики врач-ортопед предложит оптимальные варианты протезирования и согласует с вами план лечения.
Преимущества стоматологии Первой городской больницы Хэйхэ:
Скорость и технологичность
Компьютеризированное производство коронок (без ручного труда)
Срок изготовления: 3-4 дня (в России — до 1 месяца)
Значительная экономия
Циркониевая коронка: 7 000 руб. (в РФ — 20 000–40 000 руб.)
Металлические коронки дешевле российских аналогов на 50-70%
Упрощённый въезд
Виза не требуется при пребывании до 30 дней
Необходим только действующий загранпаспорт
Можно ли приехать с родными или друзьями, чтобы совместить лечение с туризмом?
Да, конечно! Вы можете принять участие в нашей «Семейной программе» и получить: Скидку 25% на лечение для всей группы (от 3 человек)
Бесплатную консультацию для сопровождающих
Помощь в организации экскурсий по Хэйхэ
Лечитесь с комфортом — отдыхайте с выгодой!
Почему стоит выбрать стоматологию в Хэйхэ?
1. Международные стандарты качества
Все процедуры выполняются в соответствии с мировыми протоколами стоматологического лечения.
2. Профилактика прежде всего
Регулярные осмотры и своевременное лечение кариеса позволяют сохранить здоровье зубов на долгие годы.
3. Профессиональный подход
Даже сложные случаи (удаление, протезирование) выполняются опытными специалистами на современном оборудовании.
4. Гарантия и ответственность
В случае любых гарантийных ситуаций (сколы, расшатывание протезов и др.) мы:
Бесплатно устраним проблему
Организуем трансфер из Благовещенска
Предоставим проживание и питание
5. Экономия без компромиссов
Цены ниже российских на 50-70% при том же качестве материалов и технологий.
Ваша улыбка — наша репутация!
Преимущества лечения в стоматологическом центре Хэйхэ
**Качество и безопасность:**
– Использование современного оборудования и передовых технологий
– Применение одноразовых инструментов и стерильных материалов
– Сочетание китайских и европейских материалов высшего качества
– Эффективные анестетики для полного комфорта при лечении
**Широкий спектр услуг:**
– Лечение всех форм кариеса
– Терапия пародонтита и пародонтоза
– Устранение хронических заболеваний полости рта
– Все виды зубного протезирования
– Комплексная диагностика и профилактика
**Финансовая выгода:**
– Стоимость лечения на 40-50% ниже, чем в России
– Гарантия на все виды работ от 10 лет
– Прозрачное ценообразование без скрытых платежей
**Дополнительные преимущества:**
– Опытные русскоговорящие координаторы
– Помощь в организации поездки
– Возможность совмещения лечения с туризмом
**Отзывы пациентов:**
“После лечения в Хэйхэ я наконец-то перестал бояться стоматологов! Качество на уровне московских клиник, а цены в разы ниже.” – Игорь, Москва
“Делала здесь виниры – результат превзошел все ожидания. Персонал внимательный, оборудование новейшее.” – Анна, Санкт-Петербург
Ваша красивая улыбка – наша профессиональная гордость!
Как связаться с нами и организовать поездку?
Транспортное сообщение:
Благовещенск и Хэйхэ разделяет река Амур, переправа между городами занимает всего 10-15 минут.
Сезон навигации (апрель-октябрь):
Переправа осуществляется на теплоходе “Амур”
Стоимость билетов:
• Взрослый: 3000 руб. (туда-обратно)
• Детский: 2500 руб. (туда-обратно)
Встреча и сопровождение:
После прохождения таможни в Хэйхэ вас встретит наш представитель, который поможет:
Разместиться в отеле
Организовать трансфер в клинику
Провести первичный осмотр
Финансовая выгода:
Даже с учетом расходов на дорогу и проживание, лечение в Хэйхэ остается на 40-50% дешевле, чем в России.
Важная информация:
Наша клиника не работает через посредников! Чтобы избежать мошенничества:
Обращайтесь только в официальный Стоматологический центр Хэйхэ
Все контакты и адреса филиалов указаны на нашем сайте
Как заранее записаться на лечение?
Рекомендуем записываться за 1-3 рабочих дней, чтобы мы могли: Забронировать для вас оптимальное время приема
Заранее подготовить русскоязычного переводчика
Разработать индивидуальный план лечения
Помочь с оформлением трансграничных документов (при необходимости)
Срочный случай?
При острой зубной боли предоставляем экстренную запись – лечение организуем в течение 24 часов после обращения.
Способы записи:
Онлайн-заявка на сайте (круглосуточно)
Через WeChat/WhatsApp (поддержка на русском и китайском)
Горячая линия в России: [местный номер телефона]
Пожалуйста, добавьте наш больничный WhatsApp, чтобы связаться с нами
Круглосуточно онлайн
Круглосуточно онлайн
Только SMS
Бесплатная консультация
Адрес:
Китай, провинция Хэйлунцзян, город Хэйхэ, район Айхуэй, Центральная улица, д. 145
23499933@mail.ru
Телефоны в России
+7 914-384-69-99 (принимаются только текстовые сообщения)
Юридическая информация
Политика обработки персональных данных
Политика конфиденциальности
СертификатыСертификаты












